Hablamos Español ......... Ask about MyEllevate – our minimally invasive neck/jawline procedure! Next level facial and neck rejuvenation................... Morpheus8 - Microneedling Fractional Treatment for Skin Rejuvenation & Contouring. Results visible in days, minimal down time. ......... Schedule a Breast Augmentation Consultation today!
Hablamos Español - Call Us 405-751-5683

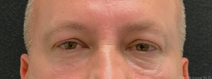
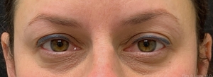
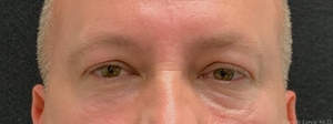
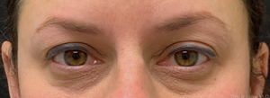
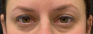
Before & After Gallery

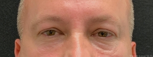
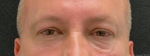
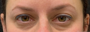
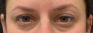
Blepharoplasty - Upper